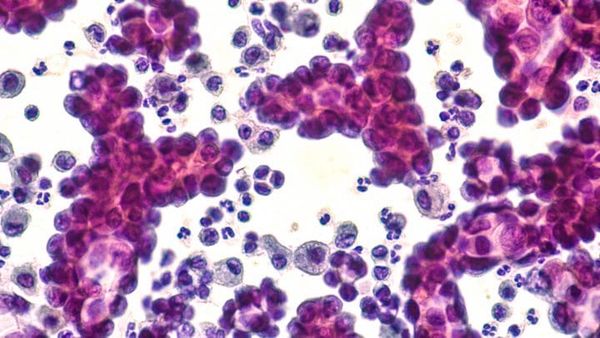
Cancers are named based on the organ or tissue where they originate. Thyroid cancers start in the thyroid gland, a butterfly-shaped organ in the front of the neck. The thyroid produces hormones that regulate metabolism, heart function, digestion, growth, body temperature, and bone...